東京・丸の内デンタルオフィス

東京マウスピース矯正治療スタイル

〒000-0000 東京都千代田区丸の内1-8-1丸の内トラストタワー2階
東京駅八重洲北口大丸東京店隣接・シャングリラホテル同敷地内

営業時間

平日 ⒑:00~19:00

休診日
土・日曜・祝

お問合せ・ご予約はこちら

03-5220-5501

当医院のインビザラインマウスピース矯正は、iTeroスキャナーデータにレントゲンCT画像を取り込み可能となり、安心・安全に向けて次世代へのシステムへ進化しました

当医院の7つの特徴

豊富な経験と高い技術力(ゴールドⅠステータス)

インビザラインのクリンチェックデータは、インビザライン側で大まかな矯正プランを作ってくれますが、口腔内の状態を直接見て把握いる訳ではなく、歯の動揺や、補綴物の状況、歯周病の進行具合、歯ぎしりの有無、顎関節症の有無などインビザライン技師には把握していない内容が必ず発生します。IPRによる歯形形成は、歯の寸法を変化させますが、インビザライン矯正システムでは、左右の歯の削合は1対1ですが、実際の歯では、6対4であったり、7対3であったり、歯の審美的形状によりアレンジが必要です。短絡的なIPRからは、前歯の審美性を無視した単に歯が綺麗に並んでいるというところをゴールとしていることになりますが、当医院では、審美歯科治療で培った概念をIPRに持ち込み、ブラックトライアングルの縮小も伴う、綺麗に歯が並ぶこと以上審美性を提供いたします。

 

デジタルレントゲンCT画像をiTeroインビザライン矯正データに組込む

当医院では、インビザラインマウスピース矯正治療最先端設備として、デジタルレントゲンCT画像データ採得ができるため、インビザライン矯正専用デジタル3次元スキャナーiTeroのデータを融合し、顎骨の拡大が見込めない大人の矯正治療において、歯肉縁上のデータだけで治療を行っていた世代から、歯槽骨内の歯根の移動を把握することにより、唇側面・舌側面の歯根面の露出するリスクを事前に診断することができるようになったことで、無理なリモデリングプランを無くすことができるようになり、多くのCTを導入していない医院と比べ、より安心・安全に大きな一歩進化いたしました

時間をかけたカウンセリング

当医院では、クリンチェック治療計画3D動画データを患者さんにお見せし、歯の移動のイメージを共有するようにしています。患者さんごとに、カウンセリングルームにてきちんとお時間を取り、ご理解いただけるよう、丁寧なご説明を心がけております。ご納得いただけないまま、アライナーの発注をを進めるようなことは一切ございません。安心してご相談ください。

セラミック治療やインプラント治療などの組合せ治療が可能

マウスピース矯正治療専門のみでは、大人の矯正治療は困難な場合があります。それは、歯の治療がされている場合が多いという点です。小児で虫歯ゼロの無処置歯であれば、矯正治療のみ考えておけば大丈夫ですが、マウスピース矯正では、途中で歯の形状が変わったりした場合、対応できなくなってしまう場合があります。

歯のセラミック治療を希望される患者さんで、下顎前歯のインビザライン矯正を行うことも多くあります。下顎前歯と上顎前歯はかみ合わせ上セットで考える必要があり、下顎前歯が上顎前歯を突き上げる場合、上顎前歯のセラミックを理想的な綺麗さでつくることが難しいからです。さらに、上顎前突(出っ歯)の状態でセラミックをそのまま作っても少し綺麗に作れても出っ歯の位置は変えることはできません。審美歯科でセラミック治療が得意であるということは、大谷選手のように二刀流を高次元で乗りこなすようなものです。

インプラント治療指導医でもあるため、インビザライン治療を同時に行うことも可能です。インプラント手術で、骨に穴をあけたり、削ったり、骨を造成したり、歯槽骨を知り尽くしているからこそ、歯槽骨の中を歯が移動する状態の歯槽骨の骨のでき方が想像がついているということは大きな強みです。

 

歯周病の患者さんでも矯正治療を行うことが可能

歯周病の患者さんは、基本的に矯正治療は、タブー(禁忌)で、歯槽骨にしっかり歯根が刺さっておらず大きなリスクを伴うため、通常の矯正専門医では、対応ができません。しかし、歯並びが徐々に悪化していくケースも多く、歯並びが悪いために、更にプラークコントロールが困難になり、歯周ポケットが改善しにくくなり、口腔内の細菌叢も悪いままだと、他の歯にも悪影響は避けられず、抜歯への道を突き進むしかなく、歯周病専門医との二人三脚で長時間のセルフケアや、慢性症状としての歯周病のコントロールをしてもらうために、生涯頻繁に歯科医院にかかるしか選択肢が無い方が大勢いらっしゃいます。

歯周病にはなるけど、虫歯にはあまりならない方も多く、最終的に歯を失う理由として、咬合性外傷として、歯が動揺し、抜歯に至ります。そのような場合、インビザラインマウスピース矯正と歯周病治療を同時に行い、歯列矯正終了後、睡眠時は、必ずリテーナーを装着するという選択の方が、歯の喪失を減らし、歯牙の温存を実現したケースが次々と出てきており、歯並びも綺麗になり、歯の残存年数も延ばせる可能性があるとすると、相談の価値があるかと思われます。

くいしばりもある方にボトックスを併用したインビザライン矯正治療が可能

通常の矯正専門医では、矯正治療のみしか行わないことが多く、歯の抜歯も他院を紹介することが多く、虫歯の治療があっても、削ることがなく紹介することが基本です。ましてや、くいしばりの対応まで考えることはなく、歯を削るにも麻酔の注射が必要ですが、当然歯茎への麻酔の注射もやることはありません。くいしばりの力を減らすのに、咬筋と呼ばれる噛みしめる筋肉に注射することはさらにハードルが上がります。当医院では、くいしばりの咬筋へのボトックス注射までは、通常の診療となるため、くしsばりのある方のインビザライン矯正治療も通常の矯正専門医よりはコントロールが得意と言えます。ナイトガードというマウスピースでくいしばりをコントロールすることも多いですが、都市部に住まわれている方は、虫歯や歯周病は減ってきていますが、くいしばりは逆に多くなっている印象です。くいしばりが強い方は、マウスピース矯正で、まじめに20時間という長時間つけ続けると、歯が圧下され、大臼歯がかみ合わなくなる弊害も多くみられます。そのような、一筋縄ではいかないくいしばりもコントロールしながら、マウスピース矯正を進めるには、歯を並べるという矯正治療以外の咬合の技術が必要です。

咬合治療とインビザライン矯正治療の応用

くいしばりが強いと様々な害が起こります。歯が柔らかいと歯がすり減ったり、歯槽骨が柔らかいと歯が歯槽骨に押し込まれたり、かみ合わせの高さが低くなることで、上の前歯が押し出され、出っ歯になったり、歯も固く歯槽骨もしっかりしていると顎関節に症状が出たり、頭痛がしたりと様々な症状がみられますが、インビザラインマウスピース矯正システムを応用することで、ケースバイケースになりますが、症状を減らせたり、かみ合わせの高さや深さを変えられたりすることができる場合があります。

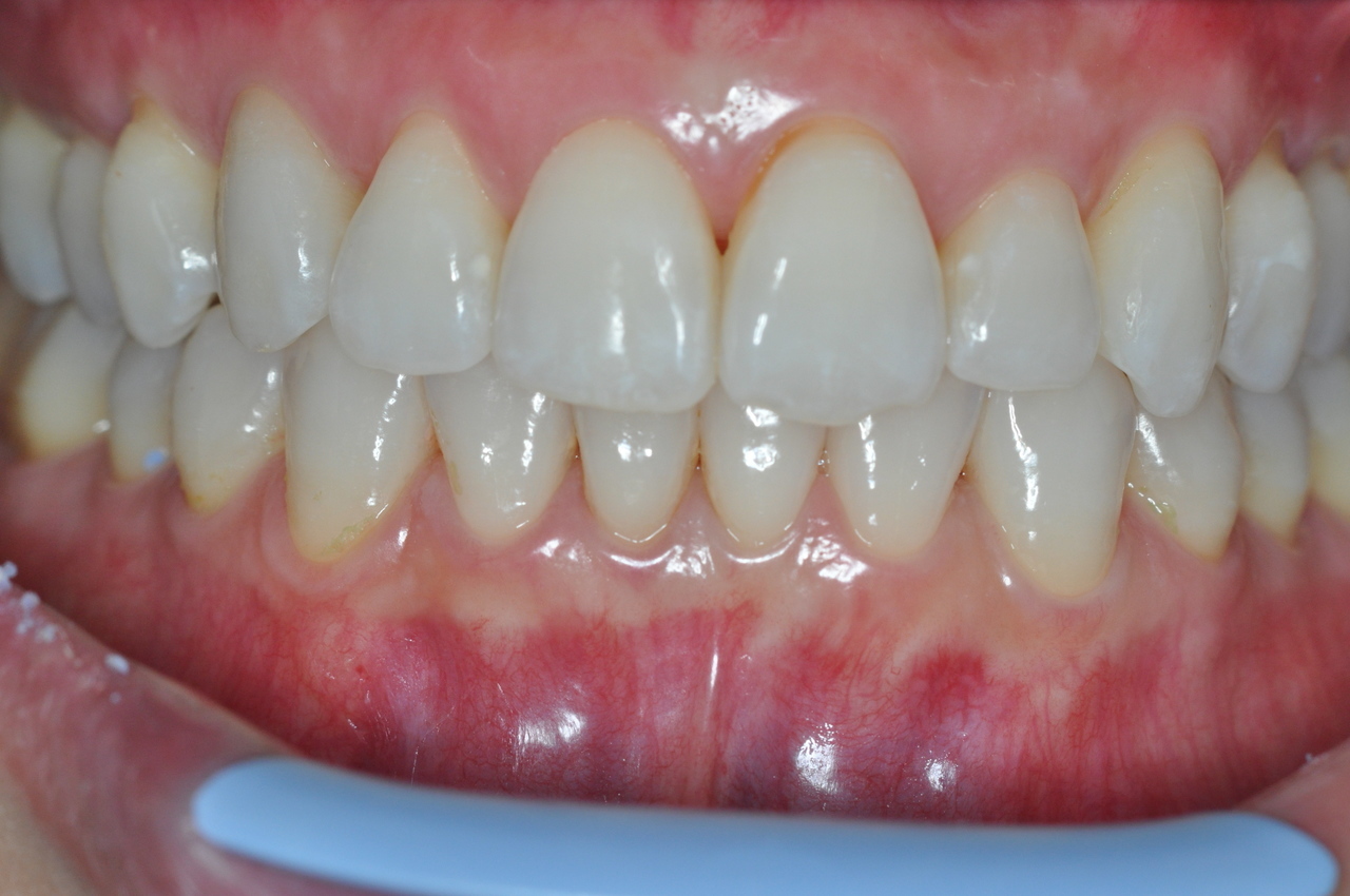
歯形矯正とブラックトライアングル縮小治療

歯形矯正とブラックトライアングル縮小治療のご紹介

当院の歯形矯正・ブラックトライアングル縮小治療をお受けいただいた方の事例をご紹介します。

治療前

他院でインビザラインマウスピース歯列矯正を終わられ、歯列は綺麗に並びましたが、笑った時の歯形とそれに伴うブラックトライアングルの改善を希望され来院

院長からのコメント

この患者さまと同じ悩みをお持ちの方は少なくありません。どの矯正歯科医院の提案も、歯列矯正がゴールなので、結局ここまでが限界と言われ、大半の患者さんが諦めておられます

治療後

当医院での綿密な診査・診断により、歯形矯正により、ブラックトライアングルを気にせず笑える良好なスマイルが得られました

院長からのコメント

このように当医院では、歯列矯正治療が完了してもその先の細部の審美に満足できていない場合や、諦めて前歯をオールセラミックで治療を考えておられる方は、歯を全部削る前に、歯形矯正とブラックトライアングル縮小による変化について、どうぞご相談ください。

東京でマウスピース矯正をお探しなら(Welcome to marunouchi dental office)

東京マウスピース(インビザライン)矯正治療スタイルの料金

マウスピース(インビザライン)矯正の治療費

インビザライン治療後のイメージ

ちょっとした歯のズレに7回のアライナー(マウスピース)交換で終われるプチ矯正。他社のマウスピース矯正との比較の場合はこちら

インビザラインアライナー

過去に行った矯正がずれてきた、少し歯並びが気になるけど、矯正する程ではないのかな?といったレベルはこちら

インビザラインアライナー付ける

本格的に歯並びを治したい。子供の頃から気になっていたけど、大人になって自分でお金を稼げるようになったご褒美になどなど

ブラックトライアングル縮小事例のご紹介

ライト・マウスピース矯正をご利用いただいた方の事例をご紹介します。

ブラックトライアングル矯正治療前

裏側矯正を行い綺麗に歯は並びましたが、ブラックトライアングルが出てきてしまい、ヒアルロン酸を検討され、少しでも隙間が小さくならないかと審美的にお困りでした。

ブラックトライアングル術前CG
ブラックトライアングル術前
院長からのコメント

この患者さまと同じ悩みをお持ちの方は少なくありません。矯正治療のゴールの提案も、通法通りのブラックトライアングルを意識しない矯正治療の場合、歯は綺麗に並んでも審美的に満足できにくいのです。

ブラックトライアングル矯正治療後

当院では綿密な問診を元に、マウスピース矯正を選択気になるブラックトライワングル縮小をご提案いたしました。

ブラックトライアングル術後CG
ブラックトライアングル術後
院長からのコメント

このように当医院では、審美歯科の治療の価値観により、ブラックトライアングル縮小矯正のご提案を心がけています。矯正治療前・後に限らず、ブラックトライアングルや前歯の形でお困りのどうぞご相談ください。

ブラックトライアングル矯正治療前CG
ブラックトライアングル矯正術後CG
ブラックトライアングル矯正術前
ブラックトライアングル矯正術後

マウスピース矯正ブラックトライアングル縮小シュミレーション

         治療前の状態

ブラックトライアングル矯正前

この患者さまと同じ悩みをお持ちの方は少なくありません。年齢と共に発生する歯並びの乱れ。通常の歯科治療では難しい歯間の隙間も、ヒアルロン酸やレジン修復以外の手段として注目です。

     治療後のシュミレーション

ブラックトライアングル矯正後

細やかな歯の位置の変化を想定したオーダーメイドのご提案が可能です。シュミレーションは納得のいくプランを提供させていただきますので、どうぞご相談ください。

通常の矯正治療のご紹介

ブラックトライアングル縮小矯正以外の通常の矯正治療も承っております。

当院のマウスピース矯正で治療いただいた方の症例をご紹介します。

矯正治療前

男性Aさんは、矯正治療を全く考えておられませんでした。歯並びが良くないのは仕方ないかなと諦めていたようです。

院長からのコメント

ブラックトライアングル縮小矯正だけでなく、通常の歯のマウスピース矯正やワイヤー矯正治療も承っています。

矯正治療後

マウスピース矯正では、術前・術後のシュミレーションができるため、どれくらいの期間で、どれくらい歯が動くのか、イメージがつきやすいため、矯正治療を決心されました。

院長からのコメント

マウスピースで矯正ができる時代が来て、今の時代の方は恵まれているなと感じます。シュミレーションによりイメージがわくので、我慢できる気がしますね。

通常の矯正治療のご紹介

ブラックトライアングル縮小矯正以外の通常の矯正治療も承っております。

当院のマウスピース矯正で治療いただいた方の症例をご紹介します。

矯正治療前

男性Bさんは、妹さんが針金のワイヤー矯正をやられるという話を聞いたことをきっかけに、自分も矯正しようと思い立ちインビザライン矯正とインプラント治療を同時に始めることになりました。

院長からのコメント

ブラックトライアングル縮小矯正だけでなく、通常の歯のマウスピース矯正やワイヤー矯正治療も承っています。

矯正治療後

完璧な歯並びとは言い難いですが、治療前のV字型の歯列弓からすると十分改善しており、インプラント治療の指導医でもあるので、インプラント手術も同時に行えたことも他にはなく満足していただける結果となっています。

院長からのコメント

マウスピースで矯正ができる時代が来て、今の時代の方は恵まれているなと感じます。シュミレーションによりイメージがわくので、我慢できる気がしますね。

マウスピース矯正ライトのご紹介

マウスピース矯正ライトをご利用いただいた方の事例をご紹介します。

マウスピース矯正治療前

以前矯正治療を行っていましたが、気がつくと、歯並びが以前より悪くなってきた気がするとのことで、マウスピース矯正ライトで矯正を行うことになりました。

院長からのコメント

この患者さまと同じ悩みをお持ちの方は少なくありません。ワイヤー矯正はさすがに、2回は嫌だなと思われている型も、マウスピース矯正なら、頑張れそうな気がしませんか?

マウスピース矯正治療後

前歯の傾きも緩和され、下の歯も均等に見えるようになり、自然な歯並びになりました。これから、後戻りに注意して、デジタルデータで同じリテーナーが何度も作れるビベラリテーナーで、歯並びを維持していけます。

院長からのコメント

このようにマウスピース矯正では、矯正後の後戻りの改善のご提案も可能です。満足のいく矯正治療となるよう、がしっかりお手伝いさせていただきますので、どうぞご相談ください。

丸の内デンタルオフィスの廊下

歯の矯正治療を行うと歯並びは良くなります。しかし、元々歯が大きくて並びきれないということは、顎堤に対し歯が大きかったり、歯の形が▽三角だったりして歯茎にブラックトライアングルが発生しやすくなってしまいます。通常のワイヤー矯正では、出来なかったIPRと呼ばれる隣接面の歯の形の修正が特徴のマウスピース矯正では可能になるのです

前歯の審美性の追求

歯のアンチエイジングとは何でしょう。その答えは、歯の色とブラックトライアングルにあります。

  • 確かな審美歯科治療技術によるスマイルライン
  • 8倍ルーペを使用した精密歯科治療によるIPR(隣接面削合)
  • ホワイトニングや予防歯科・ヒアルロン酸によるメンテナンス

矯正歯科だけしか行っていない歯科医師と違う価値観により、マウスピース矯正を活用した、審美的な歯並びとブラックトライアングルの縮小を実現いたします。

大人になっての再度のワイヤー(針金・ブラケット)矯正チャレンジは厳しいかな?

針金付きの矯正治療を行った人は、2度は矯正装置を付けたがりません。前回は乗り越えられても、大きくずれている訳でもないし、もう一度矯正は無理と思うのは当然のことでしょう。しかし、矯正後、成人になってみると、前歯の歯茎の隙間が目立つことに気がつかれる方がいらっしゃいます。この隙間(ブラックトライアングル)を何とかできないかとヒアルロン酸の注入を行うこともありますが、劇的な改善は不可能です。しかし、歯間部の距離が縮むと、歯肉(歯冠乳頭)は寄せて上がります。歯の形状も変わり、物理的なブラックトライアングルを縮小させることができるのです。

ブラックトライアングルを小さくするには、従来の方法として、レジンで埋める、ラミネートべニアで治療する、セラミックで被せる、ヒアルロン酸を注入するなどの方法がありますが、私は、出来る事なら、マウスピース矯正により、ブラックトライアングルを小さくすることが、第一選択肢となっていくと考えています。義歯が減り、インプラント治療に代わっていったように、前歯をより自然な状態で残すことが出来る優良な方法であると感じているからです。レジン充填は充填が非常に難しい上に、継ぎ目が出たり、粗造になるため、歯肉炎を起こしやすくなります。

ラミネートべニアやセラミックで被せる方法は、歯の色が元々問題があったり、虫歯治療で余り歯が残っていなかったりする場合はやむをえませんが、ブラックトライアングルだけのせいで、元に戻らない状況をつくるのは第一選択とは言い難いです。ヒアルロン酸は歯肉が健康的になるので悪い方法ではありませんが、永久的ではなく、ブラックトライアングルの埋まる量が限られています。矯正治療により、歯根の位置が近接することにより歯間乳頭が若干隆起すること、歯間が点接触から面接触に移行することで、物理的にブラックトライアングルは小さくできるのです。ブラックトライアングルの多発は、歯年齢が老けて見えてしまい、顔はお手入れが行き届いても、歯で年齢が想像できてしまうということが起きやすいのです。

東京マウスピース(インビザライン)矯正治療スタイルのこだわり

審美歯科では、8倍のルーペを使用し治療を行っておりますが、歯間部の歯の削合も8倍ルーペを使用し、一度削ると元に戻らない大切な歯を肉眼に頼らずに削合致します

矯正治療による技術だけでなく、審美歯科とインプラント手術による知識の集大成として、ブラックトライアングルを縮小します

マウスピース矯正の特徴は、術前・術後のシュミレーションが可能であることです。納得のいくプランの作成は数回のプラン変更が必要となります

東京駅に隣接した森グループ丸の内にあるタワー2階・自由診療を中心とした治療院であることが、慌ただしい喧噪から解放された静かな環境で治療が受けられます

INFORMATION
2016.6

東京マウスピース矯正ホームページを新設しました。

 


2016.6.

審美歯科のページはこちら

 


2016.6.

ホワイトニング・予防歯科のページはこちら

 

ACCESS

〒100-0005 東京都千代田区丸の内1-8-1東京駅日本橋口ロータリー右

03-5220-5501

●営業時間

平日 ⒑:00~13:00 14:00~19:00
休診日 土・日曜日・祝日

東京マウスピース(インビザライン)矯正治療スタイルのお問合せ・ご予約はこちら

東京マウスピース(インビザライン)矯正治療スタイル(丸の内デンタルオフィス)では
お問合せ・ご予約は、お電話にて受け付けております。
まずはお気軽にご連絡ください。

東京駅日本橋口ロータリー右側隣接 丸の内トラストタワー(森ビルグループ)
八重洲北口大丸東京店から徒歩3分
大手町駅 B7出口より徒歩2分(東京メトロ東西線・丸ノ内線・半蔵門線・千代田線/都営三田線)
日本橋駅 A3出口より徒歩3分(東京メトロ銀座線・東西線)

駐車場 B3階 1時間600円
 

インビザラインの相談イメージ

お気軽にお問合せください

お電話でのお問合せはこちら

03-5220-5501

営業時間:平日 10:00~13:00  14:00~19:00
休業日:土・日曜・祝日